子供の過剰歯とは?│原因・見つけ方・治療の必要性をわかりやすく解説

大阪府藤井寺市にある兵野歯科診療所です。

 

今回は、意外と知られていない「過剰歯(かじょうし)」についてお話します。

お子さまの前歯が早く抜けたり、変な場所から歯が生えてきたときに

関係していることがあります。

 


 

🦷 過剰歯とは?

 

 

過剰歯とは、通常より余分に歯ができてしまう状態のことを言います。

通常の永久歯は

 

● 28本(親知らずを除く)

● 親知らずを含めると最大32本

 

ですが、過剰歯があるとそれ以上の歯が存在します。

 

😲 過剰歯に気づくきっかけ

 

● 歯科医院でレントゲンを撮った時

● 前歯が早く抜けた

● 抜けた後に「尖った歯」が生えてきた

● 歯並びに違和感がある

 

こうした場面で気づくことが多いです。

 


 

🧐 過剰歯はなぜできる?

 

 

歯は「歯胚(しはい)」と呼ばれる”歯の芽”から作られます。

この歯胚が余分に形成されることで過剰歯ができます。

ただし、医学的にも明確な原因はまだ解明されていません。

 


 

🦷 過剰歯はどこにできやすい?

 

 

● 最も多いのは上の前歯の真ん中(正中)

● 親知らずの後方にできることも

● 本数は1本多いが、まれに2本あるケースも

● 統計的には男性に多い傾向

 

私がこれまで診てきた過剰歯の患者さまも、ほとんどが男の子でした👦🏻

 


 

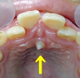
⭐ 実際のケース:息子の過剰歯に気づいた瞬間

 

 

私の次男にも過剰歯がありました!

歯磨き中、前歯の乳歯が異常にグラグラしていることに気づき、

「ぶつけた?」と聞いても本人は心当たりはなし。

 

院長にレントゲン撮影してもらうと、

しっかりと過剰歯が写っていました。

 

その後すぐに乳歯が抜け、尖った過剰歯が顔を出してきました。

 

さらに、次男は2本の過剰歯があり、

もう1本は奥に埋まっていて、通常とは逆方向に生えている

逆性過剰歯(ぎゃくせいかじょうし)でした。

 


 

🦷 過剰歯は放置してもいい?治療が必要なケースとは

 

過剰歯は必ずしも抜歯が必要とは限りません。

しかし、次のような場合は治療が必要になることがあります。

 

⬛ 治療が必要なケース

 

● 永久歯の生えるスペースを邪魔している

● 歯並びが乱れる原因になっている

● 前歯の位置がずれている

● 過剰歯が尖っていて口の中を傷つける

 

次男の場合も、過剰歯が永久歯の生える方向を妨げていたため、

歯並びへの影響を避けるために抜歯を行いました。

 

抜歯後は口元の印象も大きく変わり、

永久歯が正しい位置に生えやすくなりました。

 


 

🏥 兵野歯科診療所での過剰歯の診察について

 

兵野歯科診療所

 

当院では、過剰歯の診察・レントゲン確認を行っています。

 

● 抜歯が必要かどうか

● 経過観察でよいか

● 永久歯の生え方に影響があるか

 

など、ケースに応じて丁寧にご説明いたします😊

 


 

👀 こんなときは一度ご相談ください

 

● 変な場所から歯が生えてきた

● 前歯が早く抜けた

● 尖った歯が見える

● 歯の本数が多い気がする

● 歯並びが急に変わってきた

 

お子さまのお口の中に気になる点があれば、

どうぞお気軽にご相談ください😊

 

 

兵野歯科診療所 歯科衛生士 兵埜佳苗

 

 

大阪府藤井寺市にある兵野歯科診療所では、一般歯科はもちろんの事、予防歯科(歯のクリーニングやフッ素塗布)、歯周病対策、審美歯科(ホワイトニングなど)、小児歯科まで承っております。歯ぎしり防止用のマウスピース作製や、金具のない入れ歯作製、セラミックやジルコニアなどを使った白い歯の自費治療も行っております。また世界初の歯周病治療器ブルーラジカルを藤井寺市で唯一導入しております。

お子様の虫歯や歯磨きの方法、入れ歯や歯並びのご相談、口臭など、お口のお悩みならお気軽に当院へご相談ください。